Türkgün | Galeriler | Gündem | 400 yıl önce mumyalanan bebeğin ölüm nedeni bulundu!

400 yıl önce mumyalanan bebeğin ölüm nedeni bulundu!

400 yıl önce mumyalanan bebeğin ölüm nedeni bulundu! 1
17. yüzyıldan kalma bir Avusturya mezarlığında mumyalanmış bir çocuğun cesedine, Alman bilim insanları 'sanal otopsi' gerçekleştirdi. Kafasında deformeler olan, ilginç bir şekilde hem obez hem de yetersiz beslenmiş gibi görünen bebek, tahta bir tabutta mumyalanmış haldeydi.
1 / 7
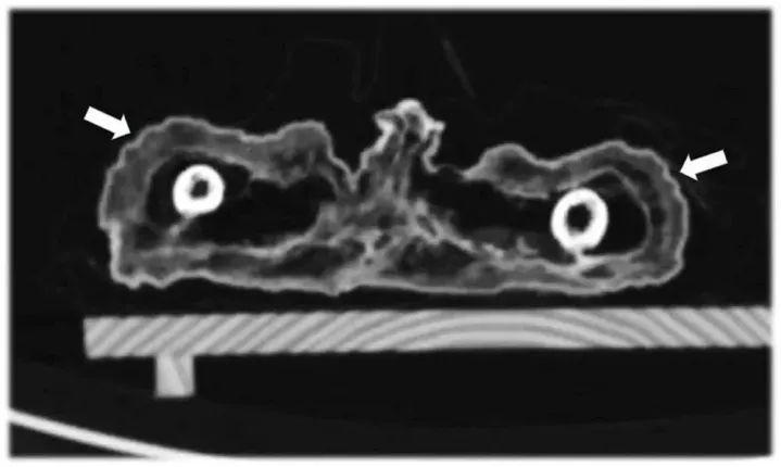
400 yıl önce mumyalanan bebeğin ölüm nedeni bulundu! 2
Frontiers in Medicine'de yayımlanan çalışmada araştırmacılar, bulguların tarihi Avusturya aristokrat toplumuna ender bir bakış açısı sağlayabileceğini söyledi. CT taraması kullanan bilim insanları, mahzen koşullarında doğal yollarla mumyalanan 'mumya bebek' üzerinde 'sanal otopsi' yaptılar. Bebeğin erkek olduğu, yaşına göre fazla kilolu olduğu anlaşıldı. Ölüm tarihinin ise MS 1550 ile 1635 arasında olduğu ortaya çıktı.
2 / 7
400 yıl önce mumyalanan bebeğin ölüm nedeni bulundu! 3
Bilim insanları, diş patlamasını, vücudunun kemiklerinin oluşumunu, uzunluğunu inceleyerek, çocuğun yaklaşık 1 yaşında olduğunu tahmin edebildiler. Kemik incelemesinde, bozuk kaburgalarında raşitik tespih belirtileri bulan araştırmacılar, D ve C vitamini eksikliklerinden kaynaklı hastalık olduğunu belirttiler.
3 / 7
400 yıl önce mumyalanan bebeğin ölüm nedeni bulundu! 4
Öte yandan Münih-Bogenhausen Akademik Kliniği'nden ve baş araştırmacı Dr. Andreas Nerlich, Şiddetli bir vitamin eksikliği ile obezitenin birleşimi, yalnızca genel olarak 'iyi' bir beslenme durumu ve neredeyse tamamen güneş ışığına maruz kalmama ile açıklanabilir dedi.
4 / 7
400 yıl önce mumyalanan bebeğin ölüm nedeni bulundu! 5
ZATÜRREDEN ÖLMÜŞAkciğerlerdeki iltihaplanma kanıtlarına bakılırsa, çocuk zatürreden ölmüş gibi görünüyor. Rickets'in çocukları zatürreye karşı daha savunmasız hale getirdiği biliniyor. Bu, ne yazık ki çocuğun yetersiz beslenmesinin yanı sıra bu durumun da onun zamansız ölümüne yol açmış olabileceğini düşündürüyor.
5 / 7
400 yıl önce mumyalanan bebeğin ölüm nedeni bulundu! 6
Nerlich, “Önceki popülasyonların yüksek aristokrat bebeklerinin yaşam koşullarını yeniden gözden geçirmeliyiz” dedi.
6 / 7
400 yıl önce mumyalanan bebeğin ölüm nedeni bulundu! 7
Öte yandan D vitamini somon balığı, ton balığı, uskumru, dana karaciğeri ve yumurta sarısı gibi gıdalarda bulunur, ancak genellikle gerekli D Vitamininin yaklaşık yüzde 10'u yiyecekleren alırız, geri kalanı güneş ışığına maruz kaldığında vücudumuz tarafından alınır.
7 / 7
Yorumlar
Yorumlar yükleniyor...
Daha fazla yorum yükle...