Türkgün | Galeriler | Gündem | Hastanın boğazından çıkan şey şaşkına çevirdi

Hastanın boğazından çıkan şey şaşkına çevirdi

Hastanın boğazından çıkan şey şaşkına çevirdi 1
İngiltere'de bulunan bir üniversite hastanesinde ameliyat edilen 72 yaşındaki hasta, yutkunmada güçlük çekince skandal hata ortaya çıktı.
1 / 5
Hastanın boğazından çıkan şey şaşkına çevirdi 2
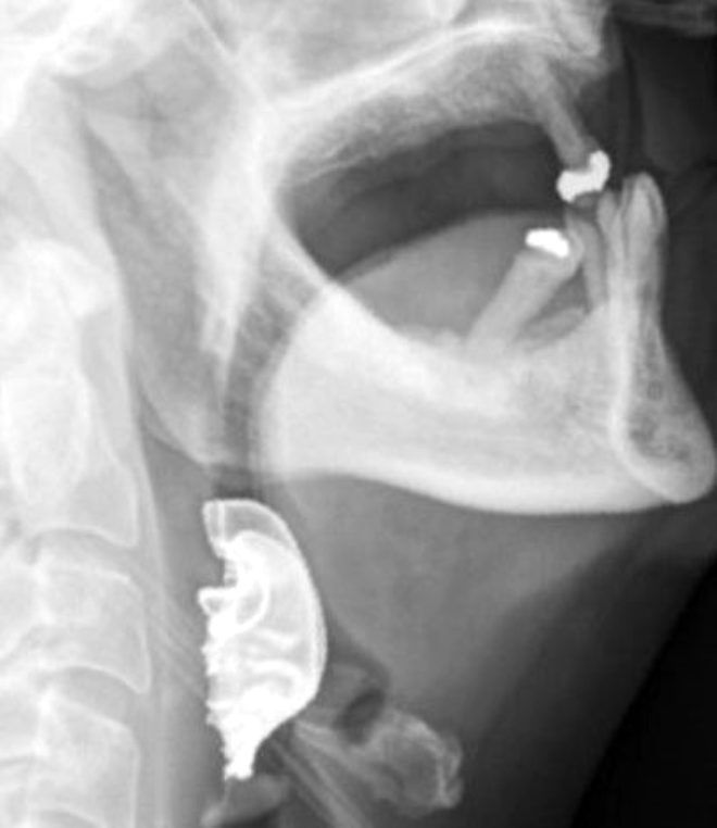
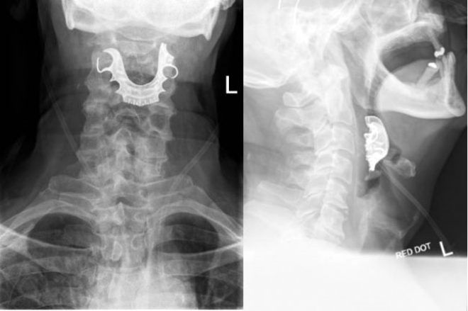
Hastanın boğazına kaçan takma dişleri, ameliyattan 8 gün sonra fark edildi.
2 / 5
Hastanın boğazından çıkan şey şaşkına çevirdi 3
Hasta, ameliyat sonrası yutkunmada sorun yaşadığından, öksürükten ve öksürükle birlikte kan tükürmekten şikayet etmeye başladı.
3 / 5
Hastanın boğazından çıkan şey şaşkına çevirdi 4
Karın bölgesinden rutin bir ameliyat geçiren erkek hasta, bu şikayetlerle birçok kez hastaneye gitti, yeni ameliyatlara girdi ve kan nakilleri yapıldı. Norfolk bölgesindeki James Paget Hastanesi, yaşananların ardından hasta bakım sürecinde değişiklikler yapıldığını açıkladı.
4 / 5
Hastanın boğazından çıkan şey şaşkına çevirdi 5
Hastanın başına gelenler, bilimsel yayın İngiliz Tıp Dergisi'nin Vaka Raporları bölümünde yayımlandı. Uzmanlar, hastanın ameliyattan önce genel anesteziyle uyutulmasından önce, takma dişlerin çıkartılmış olması gerektiğini vurguladı.
5 / 5
Yorumlar
Yorumlar yükleniyor...
Daha fazla yorum yükle...