Türkgün | Galeriler | Gündem | Korona neden ağrı yapıyor?

Korona neden ağrı yapıyor?

Korona neden ağrı yapıyor? 1
Yeni tip koronavirüs (Covid-19) nedeniyle ortaya çıkan semptomların sekiz hafta ya da daha uzun sürmesiyle, “uzun süreli Covid” ortaya çıkıyor. Daha önce yapılan çalışmalar, Covid-19 yakalanan her yedi kişiden biri en az dört hafta, her 20 kişiden biri en az sekiz hafta, her 45 kişiden birinin ise en az 12 hafta boyunca uzun süreli Covid-19 ile mücadele ettiğini ortaya koydu. Bununla birlikte, uzun süreli Covid-19’un etkileri kişiler arasında farklılık gösteriyor. Ancak, en yaygın görülen semptomlar arasında yorgunluk ve vücut ağrısı bulunuyor.
1 / 6
Korona neden ağrı yapıyor? 2
Doktorlar, daha önce hastanede tedavi edilen Covid-19 hastalarının yüz üstü yatırıldığı için kollarında, bacaklarında ya da ellerinde kronik ağrılar görülebileceğini belirtmişti ancak hastanede yatmayan Covid-19 hastalarında haftalar süren ağrının kaynağını tespit edememişti.
2 / 6
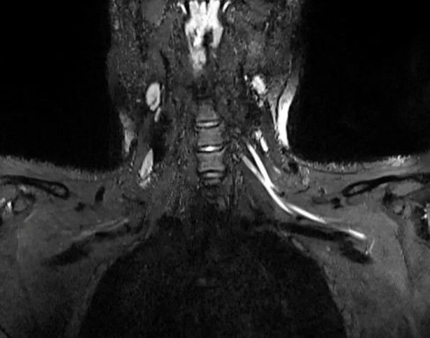
Korona neden ağrı yapıyor? 3
Radiology dergisinde yayımlanan çalışmanın başyazarı Doktorlar Ağrı boynunuzdaki, dirseğinizdeki veya bileğinizdeki sorunlardan kaynaklanıyor olabilir ve bunu anlamanın en iyi yolu MRI veya ultrasondur. Yaptığımız çalışmayla çok küçük sinirleri bile gösteren gelişmiş görüntüleme sunuyoruz. Bu da sorunun nerede olduğunu tespit etmemize, ciddiyetini değerlendirmemize ve buna neyin neden olabileceğini önermemize yardımcı olabilir.
3 / 6
Korona neden ağrı yapıyor? 4
Bununla birlikte Doktor Deshmukh, koronavirüsün aşırı bağışıklık tepkisini tetiklemesinden dolayı, vücut tarafından üretilen antikorların sadece enfekte hücrelere değil, sağlıklı dokulara da saldırmaya zorlayarak ciddi semptomlara neden olduğunu söyledi. Bilim insanı, olayın ardından sinir sisteminde de şiddetli iltihaplanma görülebileceğini açıkladı.
4 / 6
Korona neden ağrı yapıyor? 5
Ciddi Covid-19 vakalarında vücudun bağışıklık tepkisinin akciğerlere saldırmasına benzer bir şekilde, bazı hastaların bağışıklık tepkisi sinir sistemini etkileyeceğinden de bahsetti.
5 / 6
Korona neden ağrı yapıyor? 6
Öte yandan, çalışmanın yazarları gelişmiş ultrason teknolojisinin kolay taşınabilir ve ucuz olduğunu, ayrıca sinir hasarını tespit etmede tomografiden daha iyi olduğunu ifade etti. Araştırmacılar, taramaların doktorların hastaları bir rehabilitasyon uzmanına mı yoksa daha ciddi durumlarda bir cerraha mı sevk edeceklerine dair karar vermelerine yardımcı olacağını aktararak, “Eğer görüntüleme enflamatuar bir tepkiye bağlı sinir hasarı bulursa, hastaya bir nöroloğa görünerek daha iyi hizmet edilebilir. Görüntüleme, hematomdan kaynaklanan sinir hasarını ortaya çıkarırsa, kan sulandırıcı ilaçların derhal ayarlanması gerekir ve hatta hastanın bir cerrahı görmesi gerekebilir” açıklamasını yaptı.
6 / 6
Yorumlar
Yorumlar yükleniyor...
Daha fazla yorum yükle...