Kayseri'de 15 aylık A.Y.Ç.'nin yemek borusuna, evde oyun oynadığı sırada düğme pil ve lego oyuncak parçası kaçtı.
O sırada yanında olan 4 yaşındaki kardeşi, 'Kardeşim lego yuttu' diyerek annesini çağırdı. A.Y.Ç.’nin ağızına bakan anne Tuğba Yılmaz, parçayı göremeyince dışkısından çıkacağını düşündü. Bir süre sonra A.Y.Ç.'nin yutma güçlüğü çektiğini gören Tuğba Yılmaz, Kayseri Şehir Hastanesi'ne başvurdu.
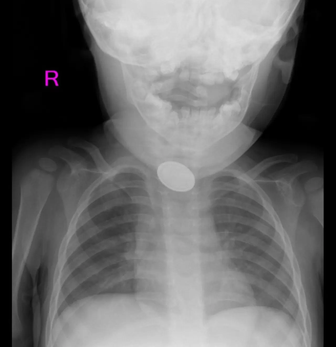
A.Y.Ç.'ye yapılan röntgende, yemek borusunda düğme pil ve lego parçası oyuncağa rastlandı. Kız bebek A.Y.Ç., Kayseri Şehir Hastanesi Çocuk Cerrahisi ve Ürolojisi Anabilim Dalı Başkanı Doç. Dr. Mustafa Erman Dörterler ve ekibi tarafından ameliyata alındı.
Yaklaşık 3 saatlik süren operasyonun ardından A.Y.Ç.'nin yemek borusuna kaçan düğme pil ile lego oyuncak parçası çıkarıldı.

“Disk pil, yemek borusuna yapışmış ve delmek üzereydi”
Kayseri Şehir Hastanesi Çocuk Cerrahisi ve Ürolojisi Anabilim Dalı Başkanı Doç. Dr. Mustafa Erman Dörterler şu bilgiyi paylaştı:
"Hastamız 15 aylık bir bebek. Hastamız, disk pil ve beraberinde bir lego parçası yutmuş. Pili ve lego parçasını yutmasının üzerinden yaklaşık 6-7 saat geçmişti. Bu durumlarda dakika ve zaman çok önemli. 2 saatten sonra çok ciddi sıkıntılar oluşturabilecek hatta ölümle sonuçlanabilecek durumlarla karşı karşıya kalmaktayız. Çocuğa, hızlı ve dikkatli bir şekilde müdahale ettik. Çünkü zaman ilerlediği için disk pil, yemek borusuna yapışmış ve delmek üzereydi. Dikkatli şekilde özenerek çıkarmaya çalıştık. Çocuğumuzun yoğun bakımdaki 2 günlük takip süreci devam ettikten sonra servisimize aldık. Şu an gayet iyi."
“Ailelerin büyük ve iri parçalı oyuncak seçmeleri gerekiyor”
Ailelere uyarılarda bulunan Doç. Dr. Dörterler, "Ailelere şunu söylemek istiyorum. Çocuklar, 9 aydan sonra ellerine aldıkları herhangi bir cismi ağızlarına götürmekteler. Bu yüzden bu tür vakalara genellikle 1-3 yaş aralığında daha sık rastlamaktayız. Aileler, çocuklara oyuncak seçimi yaparken büyük ve iri parçalı oyuncak seçmeleri gerekiyor. Pilleri, çocukların uzanamayacağı yerlere koymaları gerekiyor. Çocuklara 3 yaşından önce kuruyemiş yedirmemeliler. Kuruyemiş, nefes borusuna kaçıp ani ölümlere neden olabiliyor. Bu çocuğumuz şanslıydı; ama her çocuk bu kadar şanslı olmayabilir. Aileleri her gördüğüm yerde uyarmaya çalışıyorum. Bu çocuğumuz kurtuldu. İnşallah böyle vakalarla karşılaşmayız. Aileler de bu konuda daha dikkatli olsunlar" dedi.
