25 Aralık 2025 Perşembe
Döviz Piyasaları
Nöbetçi Eczaneler
Namaz Vakitleri
Foto Galeriler
Video Galeriler
Twitter
Facebook
Instagram
LinkedIn
Next Sosyal
Giriş Yap
Türkçe Düşün
Türkçe Düşün
Gündem
Siyaset
5609-undefined
Spor
Dünya
Ekonomi
Resmî İlanlar
Başyazı
Yazarlar
HANIMEFENDİ
Türkgün - Türkçe Düşün | Güncel ve Son Dakika Haberler
close
Twitter Facebook Instagram LinkedIn Next Sosyal
  • - GÜNDEM
  • - SİYASET
  • - SPOR
  • - EKONOMİ
  • - DÜNYA
  • - TÜRK DÜNYASI
  • - MAGAZİN
  • - KÜLTÜR SANAT
  • 8093-undefined HANIMEFENDİ
  • - FAYDALI BİLGİLER
  • - İSLAM VE AHLAK
  • - OLİMPİYAT HEYECANI
  • - ÖZEL HABER
  • - RÖPORTAJ
  • - ÇEVRE
  • - OTOMOBİL
  • - EĞİTİM
  • - YAŞAM
  • - 3. SAYFA
  • İLETİŞİM
  • KÜNYE
site logo
/ Dünya
Önce tehdit ettiler, sonra müdahale! İsrail, gemileri yasadışı şekilde ele geçirmeye başladı
2 ay önce
Önce tehdit ettiler, sonra müdahale! İsrail, gemileri yasadışı şekilde ele geçirmeye başladı
Beyaz Saray: Hamas'ın Gazze planını kabul etmesini umuyoruz
2 ay önce
Beyaz Saray: Hamas'ın Gazze planını kabul etmesini umuyoruz
İsrail savaş gemileri Küresel Sumud Filosu’na yaklaşıyor
2 ay önce
İsrail savaş gemileri Küresel Sumud Filosu’na yaklaşıyor
Fransa Cumhurbaşkanı Macron: Avrupa hava sahasını ihlal eden herkes misilleme riskiyle karşı karşıyadır
2 ay önce
Fransa Cumhurbaşkanı Macron: Avrupa hava sahasını ihlal eden herkes misilleme riskiyle karşı karşıyadır
İsrail ordusu: Yemen'den Kızıldeniz kıyısındaki Eilat kentine fırlatılan bir İHA'ya karşı koyduk
2 ay önce
İsrail ordusu: Yemen'den Kızıldeniz kıyısındaki Eilat kentine fırlatılan bir İHA'ya karşı koyduk
Gazze yolunda gergin gece! İsrail’den tehlikeli manevralar
2 ay önce
Gazze yolunda gergin gece! İsrail’den tehlikeli manevralar
New York'ta 17 katlı binada patlama sonucu kısmi göçme meydana geldi
2 ay önce
New York'ta 17 katlı binada patlama sonucu kısmi göçme meydana geldi
Tarihi filo Gazze’ye yaklaşıyor! İsrail’in ablukasına meydan okuyor
2 ay önce
Tarihi filo Gazze’ye yaklaşıyor! İsrail’in ablukasına meydan okuyor
Başbakan Sanchez'den İsrail'e çağrı: 'Küresel Sumud Filosu tamamen insani bir misyon!'
2 ay önce
Başbakan Sanchez'den İsrail'e çağrı: 'Küresel Sumud Filosu tamamen insani bir misyon!'
New York'ta 20 katlı binada kısmi çökme!
2 ay önce
New York'ta 20 katlı binada kısmi çökme!
Dünyada yaşlı nüfusun 2050'de 2,1 milyarı bulması bekleniyor
2 ay önce
Dünyada yaşlı nüfusun 2050'de 2,1 milyarı bulması bekleniyor
İsrail’in saldırısında yaşamını yitiren gazeteci Yahya Barzak için cenaze töreni düzenlendi
2 ay önce
İsrail’in saldırısında yaşamını yitiren gazeteci Yahya Barzak için cenaze töreni düzenlendi
İsrail, Gazze’den alıkoyduğu 13 Filistinli esiri aylar sonra serbest bıraktı
2 ay önce
İsrail, Gazze’den alıkoyduğu 13 Filistinli esiri aylar sonra serbest bıraktı
Küresel Sumud Filosu Gazze’ye 100 milden az uzaklıkta: İsrail tacizi yaşandı
2 ay önce
Küresel Sumud Filosu Gazze’ye 100 milden az uzaklıkta: İsrail tacizi yaşandı
Almanya’nın Münih kentinde patlama ve silah sesleri
2 ay önce
Almanya’nın Münih kentinde patlama ve silah sesleri
Federal Hükümet yine Trump döneminde kapandı...
2 ay önce
Federal Hükümet yine Trump döneminde kapandı...
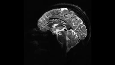
Yapay zeka, epilepsili çocuklarda doktorların gözden kaçırdığı gizli lezyonları buldu
2 ay önce
Yapay zeka, epilepsili çocuklarda doktorların gözden kaçırdığı gizli lezyonları buldu
İspanya'dan Küresel Sumud Filosu’na uyarı: “Yüksek riskli bölgeye girmeyin”
2 ay önce
İspanya'dan Küresel Sumud Filosu’na uyarı: “Yüksek riskli bölgeye girmeyin”
Sumud Filosu yüksek riskli bölgeye girdi!
2 ay önce
Sumud Filosu yüksek riskli bölgeye girdi!
Katar: Trump’ın Gazze planının açıklığa kavuşturulması ve müzakere yoluyla geliştirilmesi gerekiyor
2 ay önce
Katar: Trump’ın Gazze planının açıklığa kavuşturulması ve müzakere yoluyla geliştirilmesi gerekiyor
Filistinli gazeteci Yahya Barrak hayatını kaybetti
2 ay önce
Filistinli gazeteci Yahya Barrak hayatını kaybetti
Küresel Sumud Filosu, Gazze yolunda...
2 ay önce
Küresel Sumud Filosu, Gazze yolunda...
Zelenskiy, Zaporijya Nükleer Güç Santrali'nde 7 gündür elektrik olmadığını açıkladı
2 ay önce
Zelenskiy, Zaporijya Nükleer Güç Santrali'nde 7 gündür elektrik olmadığını açıkladı
Trump'ın Gazze planını kabineyle görüşen Netanyahu'ya aşırı sağcı bakanlardan itiraz
2 ay önce
Trump'ın Gazze planını kabineyle görüşen Netanyahu'ya aşırı sağcı bakanlardan itiraz
Husiler, ABD’li petrol şirketlerine ait gemileri hedef alacaklarını duyurdu
2 ay önce
Husiler, ABD’li petrol şirketlerine ait gemileri hedef alacaklarını duyurdu
Ukraynalı dalgıç, Kuzey Akım patlamalarıyla ilgili Polonya’da gözaltına alındı
2 ay önce
Ukraynalı dalgıç, Kuzey Akım patlamalarıyla ilgili Polonya’da gözaltına alındı
Trump ABD'deki ilaç fiyatlarını düşürecek anlaşmayı duyurdu
2 ay önce
Trump ABD'deki ilaç fiyatlarını düşürecek anlaşmayı duyurdu
Zelenskiy: Rusya İHA saldırısı düzenledi
2 ay önce
Zelenskiy: Rusya İHA saldırısı düzenledi
  • ‹
  • 1
  • 2
  • ...
  • 67
  • 68
  • 69
  • 70
  • 71
  • 72
  • 73
  • ...
  • 1114
  • 1115
  • 1116
  • ›

EN ÇOK ARANAN HABERLER

EN ÇOK ARANAN HABERLER
MHP'li Yıldız'dan net mesaj: MHP'nin raporu Türk Devleti'nin kırmızı çizgilerinin dışında olmaz!
mhp'li yıldız'dan net mesaj: mhp'nin raporu türk devleti'nin kırmızı çizgilerinin dışında olmaz!
MHP'li Ahmet Selim Yurdakul: Milliyetçi Hareket Partisi, devletin sigortasıdır ve milletin son kalesidir!
mhp'li ahmet selim yurdakul: milliyetçi hareket partisi, devletin sigortasıdır ve milletin son kalesidir!
Terörsüz Türkiye'ye kimler karşı? -1-
terörsüz türkiye'ye kimler karşı? -1-
Sivas’taki 2 köy, 12 yıl sonra mahkeme kararıyla yeniden belde oldu
sivas’taki 2 köy, 12 yıl sonra mahkeme kararıyla yeniden belde oldu
Gece yarısı evinden çıktı, kurşunların hedefi oldu! Erbaa’da motokurye dehşeti
gece yarısı evinden çıktı, kurşunların hedefi oldu! erbaa’da motokurye dehşeti
Asgari ücrette Cumhurbaşkanı Erdoğan etkisi! Milyonların beklediği rakam
asgari ücrette cumhurbaşkanı erdoğan etkisi! milyonların beklediği rakam
The Simpsons 2026 kehaneti yılbaşına 12 gün kala sosyal medyada olay oldu!
the simpsons 2026 kehaneti yılbaşına 12 gün kala sosyal medyada olay oldu!
Terörsüz Türkiye’den kim, neden rahatsız?
terörsüz türkiye’den kim, neden rahatsız?
Terörsüz Türkiye'ye kimler karşı? Burak Özcan'ın “Terörsüz Türkiye” yazı dizisi Salı günü Türkgün’de
terörsüz türkiye'ye kimler karşı? burak özcan'ın “terörsüz türkiye” yazı dizisi salı günü türkgün’de
Terörsüz Türkiye'nin yolunda milliyetsiz milliyetçiler
terörsüz türkiye'nin yolunda milliyetsiz milliyetçiler
YPG’yi savunmak, ABD ve İsrail’i savunmak değil mi?
ypg’yi savunmak, abd ve i̇srail’i savunmak değil mi?
MHP Lideri Devlet Bahçeli: 27 Şubat çağrısı herkesi bağlar
mhp lideri devlet bahçeli: 27 şubat çağrısı herkesi bağlar
Türkgün - Türkçe Düşün | Güncel ve Son Dakika Haberler

Türkiye ve dünyadan en güncel haberler. Son dakika, siyaset, spor, güncel, magazin, ekonomi, dünya, yerel ve tüm kategoride haberler.

Twitter
Facebook
Instagram
LinkedIn
Next Sosyal
appstore_app
google_play_app
  • Nöbetçi Eczaneler
  • Hava Durumu
  • Namaz Vakitleri
  • Puan Durumu
  • Yazarlar
  • Ekonomi
  • Döviz Fiyatları
  • Kripto Fiyatları
  • Altın Fiyatları
  • Bilim Teknoloji
  • Kültür Sanat
  • Spor
  • Siyaset
  • Hanımefendi
  • Gündem
  • Magazin
  • Sağlık
  • Künye
  • İletişim
  • Haber Arşivi
RSS
Copyright © 2025 . Her hakkı saklıdır.

habersoft